Full Mouth Rehabilitation
Full Mouth Rehabilitation in Dubai
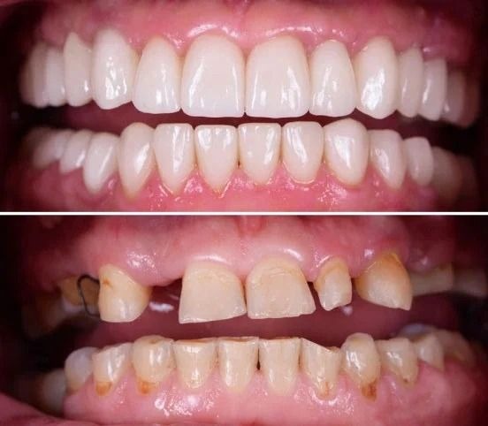
Your smile, bite, and jaw alignment play a vital role in both comfort and confidence. When these are compromised, it can lead to chronic pain, difficulty chewing, and even facial imbalance. Our Full Mouth Rehabilitation in Dubai provides a comprehensive, non-surgical approach to restore teeth, bite, and jaw function — giving you back your smile and your comfort.
Transform your smile with our customized treatments
This treatment is ideal for patients who have lost posterior (back) teeth or suffered damage to molars, which often causes
- Crooked or misaligned teeth
- Shifted or twisted smiles
- Facial, chin, or lip asymmetry
- Bad bite, clenching, or grinding (day or night)
- Morning headaches, jaw pain, or TMJ problems (clicking or joint noises)
Our Rehabilitation Approach Includes
- Re-aligning the bite and jaw joints for long-term stability
- Restoring lost posterior teeth height to support proper function
- Preventing joint sliding, dislocation, and painful clicking
- Reducing ear noises and discomfort often mistaken for ENT issues
By combining dental restorations with bite rehabilitation, we address not just the visible concerns but also the root causes of pain, discomfort, and functional issues. The result is a healthier bite, a more balanced appearance, and a confident smile.
Our Rehabilitation Approach Includes
Our expert dental team uses advanced technology and proven techniques to deliver tailored solutions that prioritize both function and aesthetics. With a patient-centered approach, we ensure comfort, precision, and lasting results.
Contact us
We will be happy to contact you.
Free Consultation
Book Your Consultation Today
Take the first step toward restoring comfort, balance, and confidence. Schedule your Full Mouth Rehabilitation consultation with our Dubai dental specialists today.
