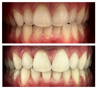
Smile Gallery

Home/Smile Gallery
Call Now Button